โรคไทเลริโอซิส (Theileriosis)


theileria

สาเหตุ
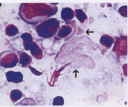
เกิดจากเชื้อโปรโตซัวชื่อไทเลเรีย (Theileria spp.) สำหรับเชื้อที่พบในประเทศไทยยังไม่รู้แน่ชัดว่าเป็นชนิดใด แต่ที่พบในเม็ดเลือดแดงของโค มีขนาดเล็กมาก และมีหลายรูปร่างแตกต่างกันไป เช่น กลม รูปไข่ รูปคอมม่า หรือรูปเรียวยาว

การติดต่อ

เชื่อว่ามีเห็บบางชนิดเป็นพาหะนำโรค แต่ยังไม่พบว่าเห็บชนิดใดในประเทศไทยที่สามารถเป็นตัวนำโรคนี้ได้

อาการ

โดยทั่วไปโคที่มีเชื้อไทเลเรียอยู่ในตัว มักไม่แสดงอาการป่วยเด่นชัด (Subclinical) ในโคที่เป็นโรคชนิดเฉียบพลันส่วนมากจะมีอาการโลหิตจาง อ่อนเพลีย น้ำนมลด สำหรับในโคนมพันธุ์แท้ อาการที่พบคือ โลหิตจางอย่างรุนแรง เบื่ออาหาร ไข้สูงและน้ำหนักลด

การตรวจวินิจฉัย

ใช้เลือดทำฟิล์มบางๆ บนสไลด์ ย้อมสียิมซ่าแล้วตรวจหาเชื้อในเม็ดเลือดแดงด้วยกล้องจุลทรรศน์
thei 2   thei 1

การรักษา
ยังไม่มียาที่จะใช้รักษาได้ผลดี แต่อาจใช้ยากลุ่มเตตทราไซคลิน (Tetracycline) รักษาเช่นเดียวกับการรักษาโรคอะนาพลาสโมซิสก็ได้