โรคติดเชื้อ อิริโดไวรัส ในจิ้งหรีด (Cricket lridovirus infection)

กลุ่มเชี่ยวชาญเฉพาะสัตว์น้ำ สัตว์ป่า และอื่นๆ   สถาบันสุขภาพสัตว์แห่งชาติ

Cricket lridovirus1

Cricket lridovirus2

อาการท้องบวมขยายใหญ่ ภายในมีของเหลวสีขาวขุ่นอัดแน่นอยู่เต็มช่องท้อง 

Cricket lridovirus3

แสดงของเหลวในช่องท้อง

Cricket lridovirus4

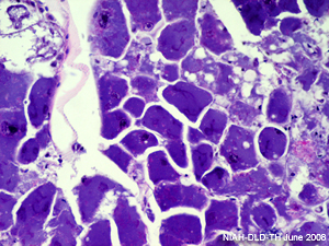
รอยโรคจำเพาะทางจุลพยาธิวิทยา
Basophilic intracytoplasmic inclusion body ในเซลล์ไขมัน

โรคติดเชื้อ อิริโดไวรัส สามารถก่อให้เกิดการตายที่รุนแรงในจิ้งหรีด อัตราการป่วย-ตายสูง และแพร่ระบาดได้อย่างรวดเร็ว สัตว์ตระกูลแมลงชนิดอื่นที่สามารถติดเชื้อนี้ได้ เช่น ตั๊กแตน และ แมลงสาบ เป็นต้น ไม่ก่อโรคในคนสาเหตุ :
เกิดจาก Cricket lridovirus (CrIV) ซึ่งเป็น dsDNA ไวรัส ลักษณะอนุภาคของไวรัสเป็นเบบ icosahedral มีขนาดระหว่าง 151 -167 นาโนเมตร

การติดต่อ :
เชื้อนี้ติดต่อโดยการกิน ผ่านระบบทางเดินอาหาร สามารถเพิ่มจำนวนในไซโตพลาสซึมของเซลล์ โดยเฉพาะเซลล์ไขมัน ระยะเริ่มแรกอยู่ที่เซลล์ไขมันร่างกาย ส่วนระยะสุดท้ายของโรคจะอยู่ที่ชั้นใต้ผิวหนัง ของเหลวในหลอดลม กล้ามเนื้อของผนังลำไส้ ถุงหุ้มอวัยวะสืบพันธุ์ และเซลล์เม็ดเลือดของแมลงลักษณะอาการ :
จะแสดงอาการหลังจากติดเชื้อ CrIV 14 วัน ในระยะตัวอ่อนหรือตัวเต็มวัย โดยแสดงอาการท้องบวม เงื่องหงอยอย่างเห็นได้ชัด และช่วงอายุสั้นลงรอยโรค :
     - มองเห้นด้วยตาเปล่า : ส่วนท้องขยายใหญ่ มีของเหลวสีขาวขุ่น เป็นมันแวววาว อัดแน่นอยู่เต็มช่องท้อง และเมื่อถูกกับอากาศจะกลายเป็นสีฟ้าอ่อนๆ
     - ทางจุลพยาธิวิทยา : พบรอยโรคจำเพาะคือ basophilic intracytoplasmic inclusion body ในเซลล์ไขมันการตรวจวินิจฉัย :
สามารถทำได้โดย การตรวจเบื้องต้น ดูรอยโรคที่จำเพาะ เช่น ลักษณะของเหลวสีขาวข้น ดูการเคลื่อนไหวแบบ Brownian movement ของกลุ่มอนุภาคไวรัสด้วยกล้องจุลทรรศน์ธรรมดา การตรวจทางจุลพยาธิวิทยาพบ basophilic intracytoplasmic inclusion body การตรวจหาอนุภาคไวรัสด้วยกล้องจุลทรรศน์อิเล็กตรอน การตรวจโดยวิธีพีซีอาร์ และการตรวจโดยวิธีเพาะแยกเชื้อไวรัสการจัดการควบคุม-ป้องกันโรค (ข้อมูลจากสำนักสุขศาสตร์สัตว์และสุขอนามัยที่ 5 และสถาบันสุขภาพสัตว์แห่งชาติ)
1) ให้ทำลายจิ้งหรีดที่เป็นโรค โดยวิธีการฝังใต้ระดับผิวดินไม่ต่ำกว่า 20 เซนติเมตร ป้องกันสัตว์อื่นมาขุดคุ้ย แล้วราดด้วยน้ำยาฆ่าเชื้อโรค หรือปูนขาว หรือเผาทำลายซาก
รวมทั้งอุปกรณ์ที่มีการปนเปื้อน เช่น ถาดไข่ที่ทำจากกระดาษ ที่ใช้เป็นที่อยู่ของจิ้งหรีดในวงปูน2) ทำการล้างทำความสะอาด และฆ่าเชื้อโรคด้วยน้ำยาฆ่าเชื้อโรค กับอุปกรณ์ที่ใข้ในการเลี้ยงจิ้งหรีด เช่น วงปูน อุปกรณ์การให้อาหาร และน้ำ ที่วางไข่ มุ้งเขียว หลังคา
ผนัง พื้น ทางเดิน และบริเวณรอบโรงเรือน โรงเก็บอาหาร และพักโรงเรือน 14 - 21วันก่อนนำจิ้งหรีดชุดใหม่เข้าเลี้ยง3) ปรับปรุงรูปแบบการสุขาภิบาล การควบคุมป้อกันโรคภายในฟาร์ม ให้ทำรั้วรอบฟาร์ม ปิดประตูฟาร์ม ไม่ให้บุคคลภายนอกเข้าฟาร์ม ควบคุมการเข้า ออกของบุคคล
ยานพาหนะ จะต้องผ่านการฆ่าเชื้อโรคก่อนที่จะเข้าฟาร์ม มีมาตรการป้องกัน กำจัดสัตว์ที่อาจเป็นพาหนะของโรค เช่น นก หนู แมลงสาบ หรือสัตว์ที่มักจะ
เข้ามาจับจิ้งหรีดในฟาร์มเป้นอาหาร เช่น นก กิ้งก่า คางคก ซึ่งอาจเป็นสัตว์ที่เป็นแหล่งรังโรคได้4) ปรับปรุงรูปแบบการเลี้ยง เช่น มีการแยกเลี้ยงจิ้งหรีดตามช่วงอายุ มีการแบ่งแยกสัดส่วน พื้นที่การเลี้ยงในโรงเรือนเป้นส่วนๆ หรือใช้ระบบเข้า ออกพร้อมกัน (All in all out)
ในการเลี้ยงเพื่อป้องกันหรือลดการแพร่ระบาดของโรคภายในฟาร์ม5) คัดเลือกจิ้งหรีดที่จะนำมาทำพันธุ์ ต้องมาจากฟาร์มที่ผลอดโรค หรือทำการคัดเลือกสายพันธุ์จิ้งหรีดที่มีความต้านทานต่อโรคมาเลี้ยงในฟาร์ม6) ควรเปลี่ยนสายพันธุ์จิ้งหรีดที่ใช้ทำพ่อแม่พันธุ์ในทุกๆ 10 รุ่น เพื่อป้องกันการเกิดสายเลือดชิด ซึ่งจะทำให้จิ้งหรีดไม่อ่อนแอ และไม่ติดเชื้อโรคได้ง่าย